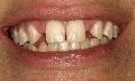
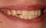
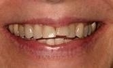
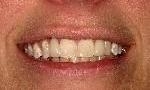
Smile Gallery

The possibilities for improving your smile are endless! Please take a look at these Before and After pictures to see what's possible for you.

Have Questions? Get in Touch
I have never had such a wonderful experience at a dentist

They have an amazing team, extremely kind and will get you in quickly. I have never had such a wonderful experience at a dentist. All I can say is thank you to Dr. Nelson for being so kind and helping me in getting my teeth fixed, Maddie is so kind too thank you guys again so much!!.

- Elizabeth T.